Gezondheid
Deze pagina bevat gegevens over:
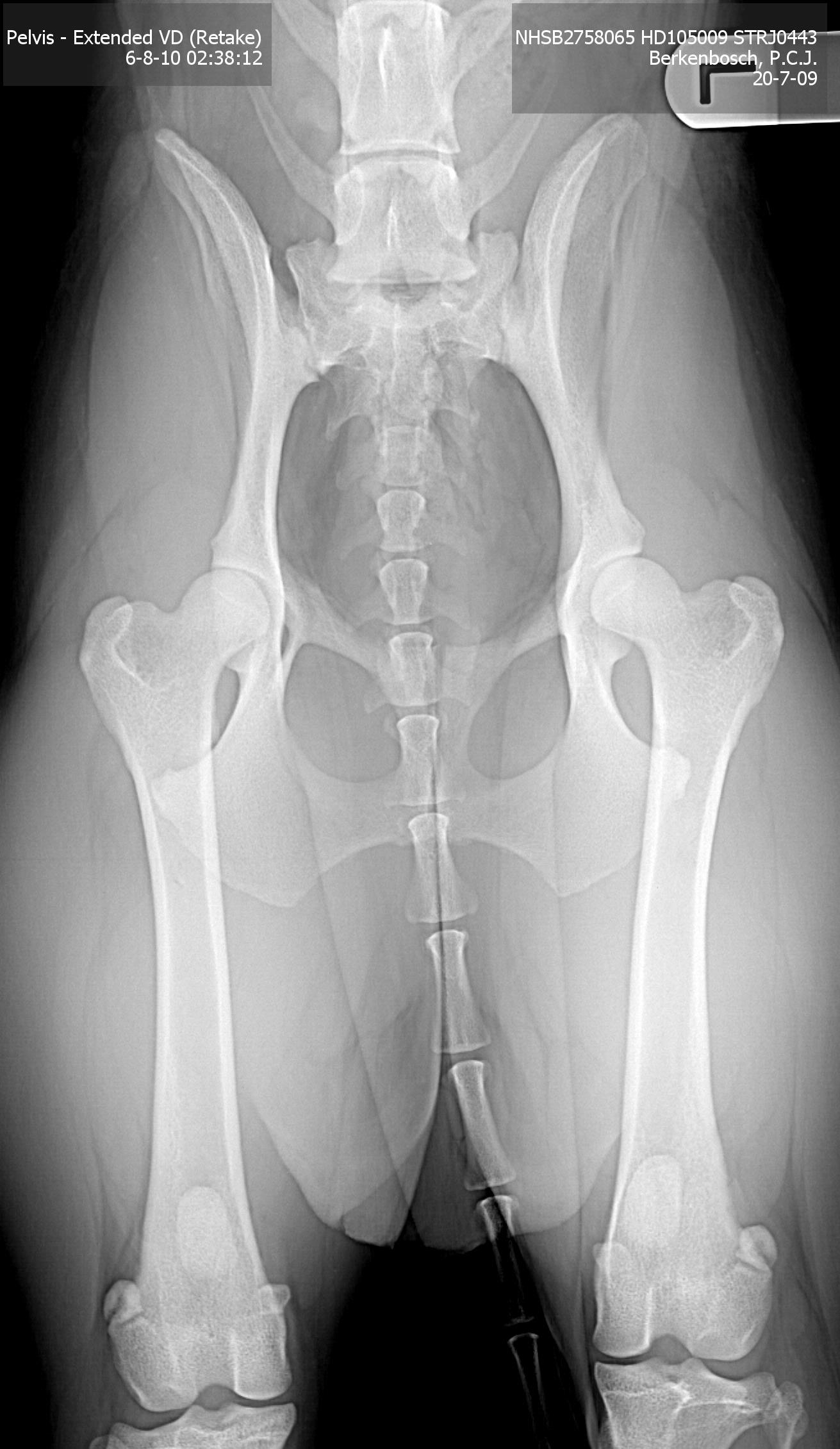
1. Officiële HD-foto
2. Inventarisatie
3. Oogtest
1. Officiële HD-foto
Op 6 augustus 2010 hebben we de officiële HD foto laten maken bij Dierenkliniek Sleeuwijk, door Walter Strikkers.
Hij gaf aan dat ze hele goede heupen heeft. De uitslag van de Raad van Beheer bevestigde dit.
De foto:


Een hele mooie uitslag! We zijn hartstikke blij en dik tevreden!
2. Inventarisatie
30 oktober 2010 is Senna geïnventariseerd door Jan Nuijten.
| Maten: | ||
| Snuitlengte: | 8 cm | |
| Snuitbreedte 1: | 20 cm | |
| Snuitbreedte 2: | 18 cm | |
| Koplengte: | 21 cm | |
| Schedelbreedte: | 37 cm | |
| Borstomvang: | 58 cm | |
| Schofthoogte: | 46 cm | |
| Lichaamslengte: | 54 cm | |
| Gewicht: | 17,5 kg | |
| Hoofd: | Droog | |
| Neus: | Recht | |
| Kleur: | Zwart | |
| Gebit: | ||
| Stand: | Schaar | |
| Ontwikkeling | Goed | |
| Ogen: | ||
| Stand: | Waterpas | |
| Aansluiting ogen: | Goed | |
| Ligging: | Goed | |
| Kleur: | Donkerbruin | |
| Oren: | ||
| Aanzet: | Hoog | |
| Beharing: | Kenmerkend | |
| Vorm: | Troffel | |
| Lengte: | Goed | |
| Lichaam: | ||
| Rug: | Recht | |
| Buiklijn: | Opgetrokken | |
| Voedingstoestand: | Goed | |
| Voorhand: | ||
| Hoek: | Goed | |
| Voeten: | Goed | |
| Achterhand: | ||
| Hoek: | Goed | |
| Voeten: | Goed | |
| Voorhand en achter- hand in balans |
||
| Staart: | ||
| Aanzet: | Hoog | |
| Beharing: | Bossig | |
| Dracht: | Vrolijk | |
| Beharing algemeen: | Sluik | |
| Stand: | ||
| Voorbenen: | Goed | |
| Achterbenen: | Goed | |
| Gang: | ||
| Stap: | Goed | |
| Draf: | Goed | |
| Gezondheidskenmerken: | ||
| Geslachtsapparaat: | Loopsheid: | Regelmatig |
| Melkklierpakketten: | Schijndracht: | melk + alle symptomen |
| Bewegingsapparaat | Heupdysplasie: | Officieel: HD-A |
| Milieu: | Nu huis + tuin | Veel beweging |
| Gedrag en karakter: | ||
| Oordeel eigenaar: |
vrolijk, trouw, |
|
| Oordeel controleur: |
Rustig en stabiel |
|
3. Oogtest
Op 26-01-2012 is Senna getest op oogproblemen, door oogspecialist Mevr. Dr. A.M. Verbruggen.